点击右上角
微信好友
朋友圈

请使用浏览器分享功能进行分享


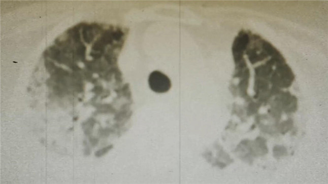
这是一张流感重症患者的胸部CT,这种令人窒息的白肺征象,在医学上是急性呼吸窘迫综合征的典型表现。

这是免疫细胞与病毒厮杀的战场,也是医学影像上触目惊心的白色阴霾。
从百年来触目惊心的数次全球大流行到每年的季节性威胁,流感,这个披着感冒外衣的杀手,正以每年5%-10%的成年人和20%-30%的儿童患病的规模威胁人类健康,甚至夺去生命。如1918年,由甲型H1N1流感病毒引起的西班牙流感大流行,1957年亚洲流感大流行,2009年H1N1全球疫情,乃至2024年流感仍然是普遍现象。流感为什么会给人类健康带来如此严重的危害?
这是因为流感病毒可以通过咳嗽、打喷嚏产生的飞沫直接感染我们,也会通过接触被病毒污染的物品等而间接感染,流感病毒的传播速度极快,1-3天潜伏期后,感染者在发病前一天至病后5-7天持续排毒。由于人员聚集、空气流通不畅、防护措施不到位等原因,容易发生聚集性病例,导致短时间内大规模流行。
因此,对流感的预防绝不能掉以轻心,除了积极接种流感疫苗,同时,牢记勤洗手、多通风,咳嗽时注意礼仪等良好习惯,这样才能最大程度抵御流感侵袭,守护健康安全。(庞聪)
